Produkty
Konfokální fundus kamera iCare DRS Plus
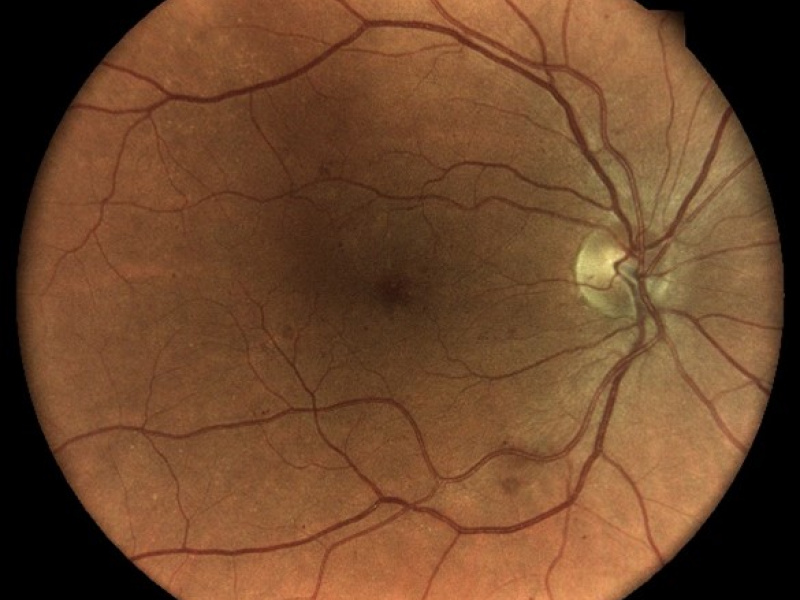
iCare DRSplus TrueColor je nejnovější certifikovaná konfokální fundus kamera, která kombinuje to nejlepší z technologie zobrazování očního pozadí s konfokální technologií TrueColor.
Tento zdravotnický prostředek je registrovaným zdravotnickým prostředkem třídy IIa.
Konfokální kamera iCare DRSplus pomáhá odborníkům diagnostikovat a sledovat oční poruchy a onemocnění sítnice s vysokou přesností a kvalitou obrazu TrueColor Confocal. Tento přístroj je vyráběn v Itálii.
CenterVue S.p.A.
Via San Marco, 9h
351 29 Padova
iCare DRSplus je certifikovaný zdravotnický prostředek, ktorý kombinuje to najlepší z technologie zobrazování očního pozadí s technologií TrueColor Confocal, čím poskytuje nový standard zobrazování sítnice.
V rámmci diagnostiky očí sa jedná o prevenci, ktorá je zaměřená na choroby:
- diabetická retinopatie
- věkem podmíněná makulární degenerace
- glaukom - zelený zákal
- cévní příhody
- vysoký krevní tlak
- cévní mozková příhoda
Tento zdravotnický prostředek je registrován jako zdravotnický prostředek třídy IIa podle MDR (nařízení o zdravotnických prostředcích, nařízení EU o zdravotnických prostředcích 2017/745).
Technologie TrueColor Confocal společnosti iCare překonává limity běžných zařízení pro zobrazování fundu a SLO (scanning laser ophthalmoscop) tím, že kombinuje nejlepší výhody obou. Jednoduše řečeno, fundus kamery poskytují vysokou barevnou věrnost a SLO systémy vytvářejí vysokou ostrost, jasnost, celkovou přesnost a detailnost snímků. Když se tyto vlastnosti zkombinují, vznikne špičkový obraz sítnicové krajiny ve věrných barvách.
Pro diagnostiku a sledování běžných patologií, jako je diabetická retinopatie, musí být zařízení pro zobrazování očního pozadí schopna kombinovat vysoké rozlišení, vysoký kontrast a vysokou barevnou věrnost. To umožňuje zachytit drobné rysy a detaily a rozlišit jednotlivé změny, které byste jinak mohli snadno přehlédnout. Zatímco standardní systémy SLO mají vysokou jasnost, ostrost a kontrast, tradiční fundus kamery nabízejí vysokou barevnou věrnost, běžná zobrazovací řešení tyto dvě věci nekombinují!
Monochromatické lasery používané ve standardních SLO systémech mohou díky konfokálnímu optickému mechanismu poskytovat vysoce ostré a kontrastní snímky. Na druhou stranu však nedokážou zachytit sítnici v jejích skutečných barvách.
Systémy pro zobrazování fundu vytvářejí snímky přirozených barev pouze tehdy, pokud používají bílé světlo: to znamená, že v osvětlovacím paprsku používaném k zobrazení sítnice jsou přítomny všechny vlnové délky viditelného spektra. Na získaném snímku lze rozlišit různé barevné detaily.
Naproti tomu systémy využívající monochromatické zdroje světla, jako jsou systémy SLO, používají k osvětlení sítnice pouze určité vlnové délky. Poskytují proto pseudobarevné obrazy, které postrádají některé spektrální složky, a výsledkem jsou chybějící informace nebo barevné artefakty.
Systém iCare se vyznačuje použitím bílého LED světla v kombinaci s konfokální optikou, což pomáhá získat vysoce kvalitní snímky sítnice se zvýšenou barevnou věrností.
iCARE ILLUME
Jedná se o jedinečnou kombinaci specializovaného screeningového softwaru s umělou inteligencí Thirona RetCAD AI ve spojení s konfokální fundus kamerou DRSplus.
Pomáhá odhalit včasné příznaky diabetické retinopatie (DR) pomocí umělé inteligence (AI).
Klíčové vlastnosti a výhody
- Screeningový software s využitím umělé inteligence RetCAD od společnosti Thirona
- Efektivní screening diabetické retinopatie umožňující včasný zásah specialisty
- Umelá inteligence automaticky rozpozná včasné příznaky onemocnění sietnice a klasifikuje výsledky podle závažnosti
- Správa pacienta obsahující více možností zobrazování.
- Rychlejší a efektivnější vyšetření, které umožňuje včasnou pomoc pacientům, kteří ji potřebují.
- Unikátní konfokální technologie kamerového zobrazovacího systému iCare DRSplus umožňuje screening všech pacientů, včetně pacientů s kataraktou
- Plně automatizované operace nabízejí významnou úsporu času
- Ukládání a sdílení výsledků screeningu v cloudu iCare ILLUME Connect
- Výrazná úspora času zdravotnických pracovníků, snížení jejich pracovní zátěže při zachování vysoké přesnosti detekce
- Ideální pro optimalizaci pracovního času, zefektivnění procesů, rozšíření screeningových programů, zajištění kontinuity péče v primární zdravotní péči
- Úspora nákladů
Jak funguje ICARE ILLUME
AI (umělá inteligence) okamžitě rozpozná příznaky diabetické retinopatie a klasifikuje výsledky podle závažnosti na základě mezinárodní klasifikace. Získáte přehled s hodnocením závažnosti zachycení, kdy se po analýze snímků pořízených kamerou iCare DRSplus automaticky vygeneruje zpráva pro pacienta se stupnicí závažnosti diabetické retinopatie na základě mezinárodních standardů (ICDR, AREDS).
Fundus kamera iCare DRSplus pořídí celkem 4 vysoce kvalitní snímky TrueColor (dva z pravého a dva z levého oka), které se automaticky uloží do cloudu a odešlou ke zpracování umělé inteligenci - AI. Zpráva je k dispozici okamžitě a může být zkontrolována s pacientem během téže návštěvy lékaře.
Klíčové parametry
- Nemydriatická plněautomatická fundus kamera s konfokálním principem s věrným podaním barev (TrueColor).
- Bezchybný prevoz i za denního světla, tzn. není nutné zastínění a omezení běžného provozu.
- Obsluha na jedno tlačítko, zaškolení je velmi jednoduché.
- Od velikosti zornice 2,5mm.
- Doba vyšetření celkem 2,5 min včetně reportu.
- Pořizuje snímky v úhlu 45°. Možnost zvolit až 7 automatických snímků jednoho oka (2 min. pre automatické vyhodnocení).
- Konfokální princip a zdroj bílého světla fotí i přes lehkou až střední kataraktu či jiné zákaly optických médií, což znamená vyšší percento vyhodnocených snímků.
- Možné zadávání dat a přehled snímků přes jiný počítač v síti zákazníka.
- Lehký odolný přístroj s možností přesunu.
Záruka a servis
- Záruka 12 měsíců podle standardů EU s možností prodloužení.
- Servisní a poradenská linka Po-Pá, 9-15 hod (+420 773 800 656).
- V případě záruční opravy zapůjčení náhradní kamery po celou dobu opravy.
- U pozáruční opravy min. po dobu 5 dní zapůjčení zdarma, případně individuální prodloužení.
- Včetně BTK.
Nadstandardní služby
- Dovoz a instalace u zákazníka.
- Zapojení, spuštění a zaškolení obsluhy.
kamera DRSplus
- konfokální bílé světlo
- možnost fotit za bežného osvetlení
- od 2,5 mm zornice
- i přes mírnou až střední kataraktu
- schopnost vyfotit 99 % pacientů
- plněautomatický režim
- doba focení 1 minuta
Software RetCAD
- schopnost zhodnotit téměř 100 % snímků
- Výsledek na škále 0-4 podle ICDR
- International Clinical Diabetic Retinopathy
(medzinárodní klinická škála závažnosti diabetické retinopatie) - Výsledek generovaný na základě 2 snímků z každého oka
(centrální a nazální)
Medzinárodní oftalmologický standard vyžaduje
výsledek podla min. 2 snímků z každého oka.
Technické detaily kamery
|
ZORNÉ POLE |
JEDEN SNÍMEK (Š X V): 45° X 40°, MOZAIKA AŽ 9 POLÍ (Š X D): 83° X 78° |
|
ZDROJE SVETLA |
BÍLÉ LED: 420-675 NM, INFRAČERVENÉ LED: 825-870 NM |
|
ZOBRAZOVACÍ MODALITY |
TRUECOLOR, BEZ ČERVENÉ*, MODRÁ*, ČERVENÁ*, VNITŘNÍ OKO, VNĚJŠÍ OKO, STEREO**, MOZAIKA** |
|
ROZSAH NASTAVENÍ AUTOMATICKÉHO ZAOSTŘENÍ |
- 15 D AŽ +15 D |
|
AUTOMATICKÉ OPERÁCIE |
AUTO CENTROVÁNÍ, AUTO ZAOSTŘENÍ, AUTO EXPOZICE, AUTO SNÍMÁNÍ, AUTO MONTÁŽ |
|
MINIMÁLNÍ VELKOST ZORNICE |
2,5 MM |
|
PRACOVNÍ VZDIALENOST |
25 MM |
|
VELIKOST OBRAZU |
12 MEGAPIXELŮ |
|
ROZLIŠENÍ |
77 PIXELŮ/STUPEŇ |
|
CÍLE FIXACE |
INTERNÍ/EXTERNÍ** |
|
DYNAMICKÝ PROGRAMOVATELNÝ VNITŘNÍ FIXAČNÍ CÍL |
CENTRAL, NASAL, TEMPORAL, CENTRAL-NASAL, SUPERIOR, INFERIOR, SUPERIOR-TEMPORAL, SUPERIOR-NASAL, INFERIOR-TEMPORAL, INFERIOR-NASAL |
|
|
POČÍTAČ |
|
DISPLEJ |
INTEGROVANÝ 10,1″ (1280 X 800) BAREVNÝ KAPACITNÍ MULTIDOTYKOVÝ DISPLEJ |
|
PEVNÝ DISK |
D ≥ 500 GB |
|
ROZHRANÍ |
PORT USB 2.0 X 3, GIGABITOVÝ ETHERNETOVÝ PORT X 1, VIDEOPORT |
|
EXPORT / IMPORT |
JPEG, PDF, DICOM**, WEB API** |
|
VZDIALENÝ PROHLÍŽEČ |
AŽ 5 VZDIALENÝCH STANIC |
|
|
ROZMĚRY/NAPÁJENÍ |
|
ROZMĚRY (Š X V X D) |
300 MM (11,8") X 450 MM (17,7") X 650 MM (25,6") |
|
HMOTNOST |
11 KG (24 LIBER) |
|
NAPĚTÍ |
100-240 VAC |
|
FREKVENCE |
50-60 HZ |
|
PŘÍKON |
60W |
|
ELEKTRICKÁ TŘÍDA |
CEL 60601-1 TŘÍDA I |
|
|
*DIGITÁLNÍ FILTRY |
Cenová nabídka
Kontaktujte nás a rádi Vám připravíme a pošleme cenovou nabídku na míru.

























